S‹ØÇƒ‚ƒfƒ‹“®•¨‚ÌЉî
ƒqƒg‚̓˔­«S‹ØÇ‚ɓޗ‚µ‚Ä‚¢‚éŠeŽí޾гƒ‚ƒfƒ‹“®•¨‚Ì’†‚Å‚t‚l|‚w‚V.‚Pƒnƒ€ƒXƒ^[‚ÍAŽá—î‚æ‚èS‹Ø‹y‚щ¡Šu–ŒAã‚É‚b‚’¾’…‚ª‘¶Ý‚·‚邱‚Æ‚ª’m‚ç‚ê‚Ä‚¢‚éB–{ƒnƒ€ƒXƒ^[‚ÍA‚P‚X‚W‚U”N“±“ü‚³‚êAˆÈŒã–{Šw޾гƒ‚ƒfƒ‹‹³ˆçŒ¤‹†ƒZƒ“ƒ^[“à‚ɂČn“ˆÛŽAŠg‘å”ÉB‚³‚¹AS‹ØÇƒ‚ƒfƒ‹“®•¨‚Æ‚µ‚ÄŠeŽíŽÀŒ±‚ÉŽg—p‚µ‚Ä‚«‚½B
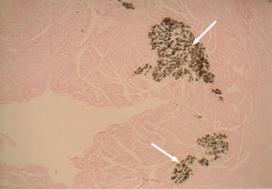
S‹ØÇƒnƒ€ƒXƒ^[‚t‚l|‚w‚VD‚P ‚t‚l-‚w‚V.‚P‚ÌS‘Ÿ‚Ì‘gDŽÊ^i‚g.‚dõFj@
‚t‚l|‚w‚VD‚P‚ÍŠOŒ©‚Í”’‚¢”í–тɕ¢‚í‚êAލ‚Í•‚­–ڂ̓ƒCƒ“F‚Å‚ ‚éB‘Ìd‚͋ߌðŒn‚Ì‚f‚mƒnƒ€ƒXƒ^[‚É”äŠr‚µ‚Ä–ñ‚Q/‚R’ö“x‚̬•¿‚Å‚ ‚邪A‚b‚’¾’…‚ÆS”ì‘傪ŠÏŽ@‚³‚ê‚éB ‚g‚dõF‚Å‚ÍA‚b‚’¾’…‚ª•‚¢”Á“_‚̉òi–îˆój‚Æ‚µ‚ÄŠ‚ÉŒ©‚ç‚ê‚éB
‚Ü‚½‚t‚l|‚w‚VD‚P‚Í‚b‚‘ãŽÓˆÙ킪”F‚ß‚ç‚êAŒo”N‚ƂƂà‚Éœ–§“x‚̒ቺ‚ªŒ°’˜‚ÅAƒqƒg‚ÌœŒ`¬ˆÙí‚Å‚ ‚霑eé Ç‚Ȃǂ̃‚ƒfƒ‹‚ɂȂ肤‚é‚©‚ðŒŸ“¢‚µ‚Ä‚¢‚éB


‚t‚l-‚w‚V.‚P‚Æ‚f‚m‚Ì‘å‘Úœ‚̃Œƒ“ƒgƒQƒ“ŽÊ^B‚`‚ª‚t‚l|‚w‚V.‚P‚Å‚a‚ª‚f‚m•‚¢•”•ª‚ª‘½‚¢‚Ù‚Çœ‚ªƒXƒJƒXƒJó‘Ô‚Å‚ ‚邱‚Æ‚ðŽ¦‚·B‚t‚l|‚w‚V.‚P‚Ì•û‚ª‚f‚m‚ɔ䂵‚Ä•‚Á‚Û‚­ŽÊ‚Á‚Ä‚¢‚é‚Ì‚ªŠm”F‚Å‚«‚é
‚t‚l-‚w‚V.‚P‚Æ‚f‚m‚̃Œƒ“ƒgƒQƒ“ŽÊ^
‚t‚l|‚w‚VD‚P‚Í–{ƒZƒ“ƒ^[‚ňێ‚³‚ê‚Ä‚·‚łɂU‚O‘ã‚𔂦‚邪AS‹ØÇ‚݂̂Ȃ炸‚b‚‘ãŽÓˆÙíAœŒ`¬•s‘S‚ȂǗp“r‚ÌŠg‘å‚ð}‚Á‚Ä—LˆÓ‹`‚ÈŒ¤‹†‚ði‚߂Ă¢‚«‚½‚¢B@@@@@@@@@@@@@@@@@@@@@@@@@@@@@@@@@@@@@@@
@@@@@@@@@@@@@@@@@@@@@@@@@@@@@@@@@@@@@@@@@@@@@@@@@@@@@@@@@