Advanced Aquilion Prototype (8-row)

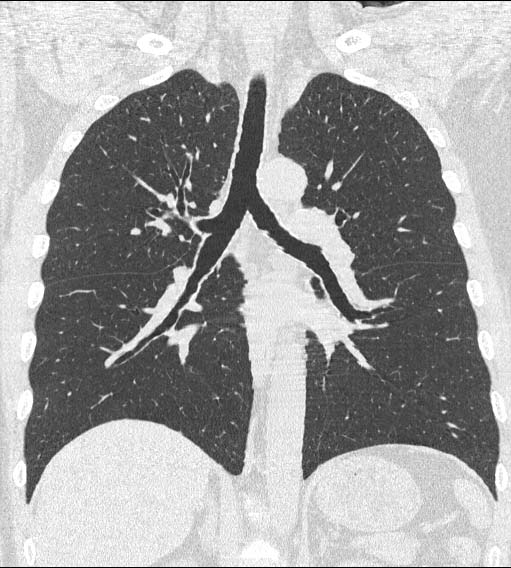
Clinical example #2

Normal Chest

0.5mmx8, pitch 10,