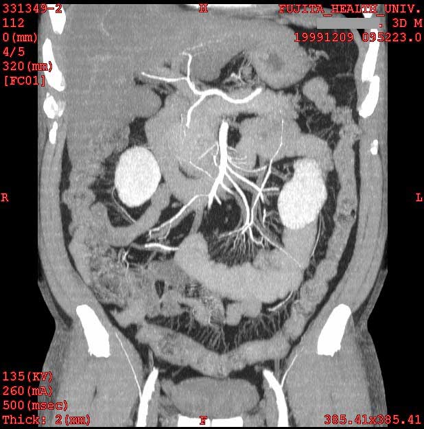
Normal colon and mesenteric arteries

2mmx4, Pitch 5, 150mAs

MIP

Data acquired by H. Anno M.D., processed by T. Takahara M.D. and K. Katada M.D.

Copyright 1999 by Fujita Health University. All rights reserved