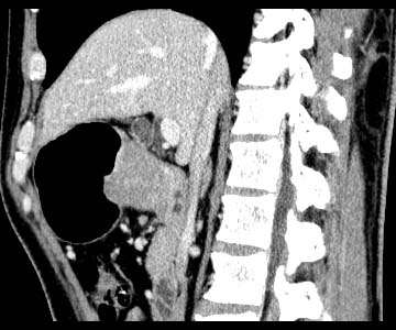
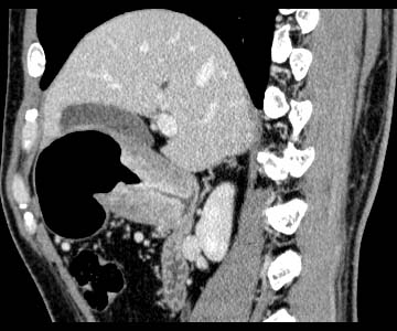
Gastric cancer / Borr.II

1mmx4, Pitch 4.5, 28 seconds, 150mAs

Copyright 1999 by Fujita Health University. All rights reserved

Sagittal MPR

Data acquired & processed by R. Kato M.D.