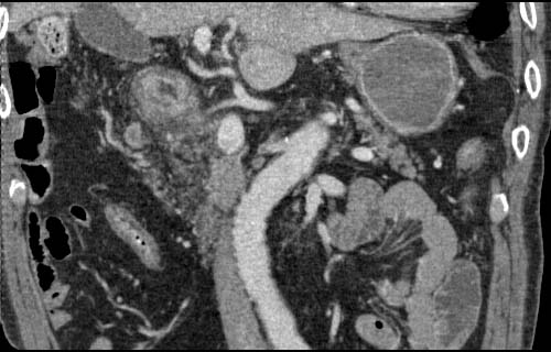
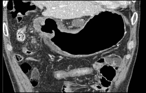
Gastric cancer / Borr.III

1mmx4, Pitch 4.5, 23 seconds, 150mAs

Copyright 1999 by Fujita Health University. All rights reserved

Coronal MPR

Data acquired & processed by H. Anno M.D.