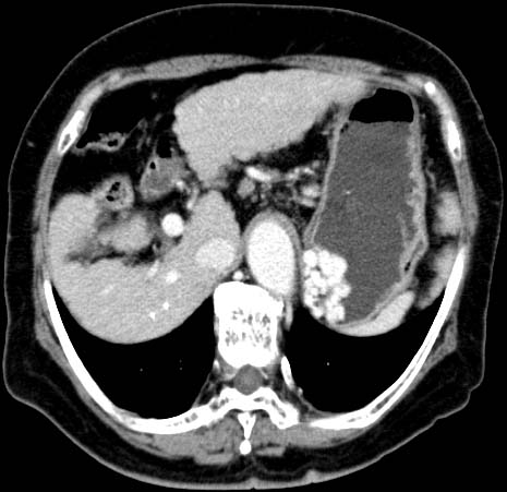
Gastric varix

3mmx4, Pitch 3.5, 273mm, 13 seconds, 150mAs

Oblique MPR

Data acquired & processed by H. Anno M.D.

Copyright 1999 by Fujita Health University. All rights reserved