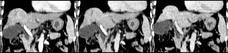
Hepatocellular Carcinoma:
6 Phase Study
5mmx4, Pitch 3, 9 seconds x 6, 150mAs
Coronal MPR
After obtaining non-contrast
scan, 100ml of 300mgI/ml was injected intravenously, and 9 seconds
of volume scan was repeated. Volume dynamic study can easily be
performed with half-second multislice CT. The tube OLP was 35% at start point, and
reached to 57% after the scan had completed.
Data acquired by R. Kato M.D., processed
by K. Katada M.D.
Copyright 1999 by
Fujita Health University. All rights reserved
