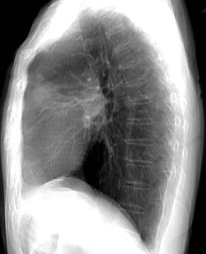
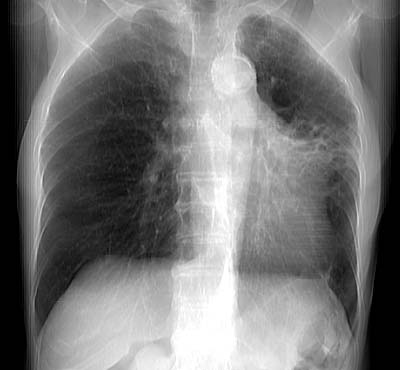
Re-projection image from volumetric data

Data acquired by R. Kato M.D., processed by K. Katada M.D.

Copyright (c) 1999 by Fujita Health University. All rights reserved.