Copyright 1999 by Fujita Health University. All rights reserved.

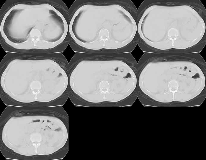
Lung Cancer: Adenocarcinoma:"High-speed screening mode."

8mmx4, Pitch 6, 384mm, 4-seconds, 150-mAs: