単純写真    

 単純写真

 造影剤が流れる前の状態を見ます。

 この時点で石が写ることもあります。

 石にはその成分によって写る物と写らない物があります。

 

 

 

 

5分後の写真

 造影剤注射後5分の写真

 主に腎機能を見ます。

 腎臓で濾過されたおしっこ(造影剤)が写ってきています。

 わかりますか?

 

 

 

 

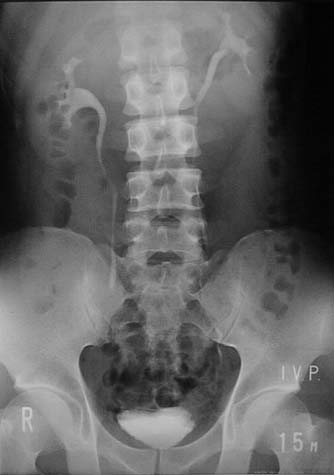
15分後の写真

 15分後の写真

 主に腎盂、腎杯、上部尿管の形態を見ます。

 膀胱も見えてきています。

 

 

 

 

 

立位の写真 

 立位の写真

 腎臓が立位(体が立った状態)では重力で少し下がります。

 この移動の様子や、下部尿管の様子を見ます。

 

 

 

 

 

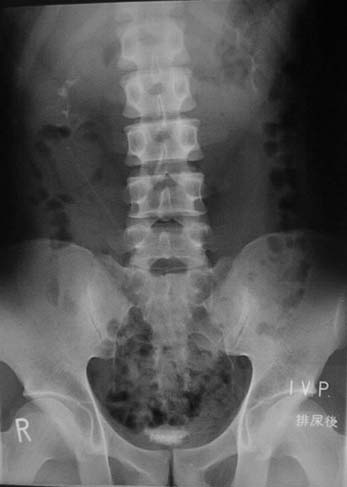
排尿後の写真

 排尿後の写真

 ふつうはおしっこが終わると膀胱は空になります。

 このときの残尿の状態などを見ます。

 

 

 

 

 

前のページに戻る        トップページに戻る