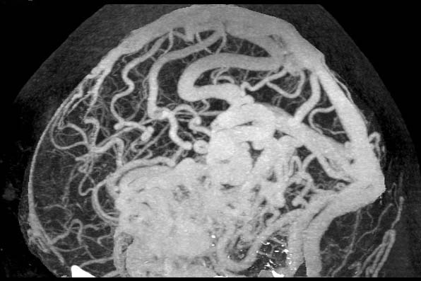
Arteriovenous malformation

0.5mmx4, Pitch 3.5, 200mAs

MIP

Copyright 2000 by Fujita Health University. All rights reserved