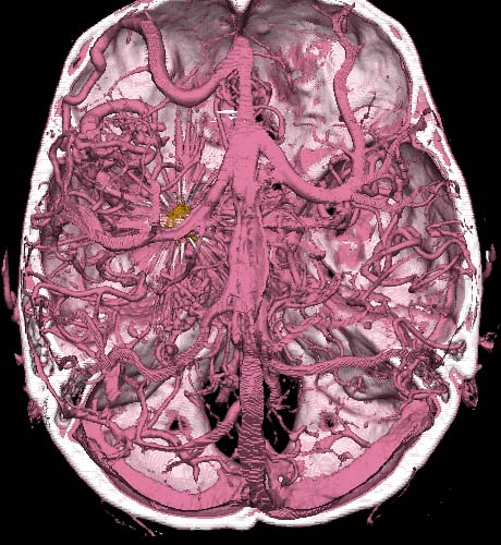
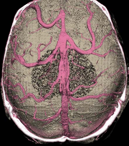
Arteriovenous malformation with left IC aneurysm (embolized)

1mmx4, Pitch 3.0, 132mm, 22 seconds, 150mAs

3D Volume rendering

Data acquired & processed by M. Hayakawa M.D.

Copyright (c) 1999 by Fujita Health University. All rights reserved