
to CT
Pathfinder●GEブース
| 41: 3T装置で撮影されたMRA | 42: 3T装置(Signa VH/i)のパネル。現在日本には研究所を中心に4台が稼働中。 |
|
左 43: Twin Gradient Technology |
●Siemensブース
50: 0.2T装置にUltra fast True FISPという名前のシーケンスがあるらしい。
50
●GE ランチョンセミナー
| 56: True FISPシネ | 57: SENSE |
| 90: 心臓のinteractive plan なかなか良くできています。心臓のモデルの対して面が表示されるところが○。 |
95: とにかくすごい集客力 |
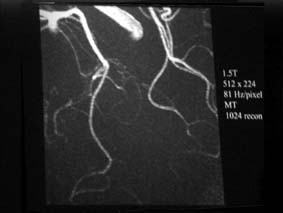
| 112: 3TのTOF MRA拡大像.ーおお,これはかなり分解能高いぞ!(片田) | 113: 1.5TのTOF MRA拡大像 |
●デンバー
2206: ロッキー山脈に沈む夕日
2206
●シーメンス UM
| 2213: Product Overview。右下がwhole body 3.0T | 2239: 頭部用3Tscanner Allegra |
| 2243: suseptibility sensitiveであることを示す。 | 2313: True FISP cine(左conventional、右True FISP) |

