当科で診療実績のある主な疾患例
原発性肺癌
呼吸をする時に空気が通る道筋を気道(きどう)と呼びます。気道の中で気管支から肺胞に至る部分が肺と定義され、肺に発生するがんの全てが肺癌とされます。肺癌の原因として、現在のところはっきりしているのは喫煙です。今や日本人の二人にひとりががんになるとされていますが、2017年1年間に日本で12万4千人以上が肺癌になり (がん罹患数の第3位)、44,140件の手術が実施されています。肺癌の治療法は原則的には病期(病気の進行度)によって決められます。加えて、癌の特徴、年齢、これまでにかかった病気(既往症)、現在かかっている病気(併存症)、臓器(特に肺と心臓)の機能や健康状態に基づいて、慎重に治療法を選択します。肺癌の治療法には、外科療法、放射線療法、抗癌剤による化学療法、免疫療法、痛みや他の苦痛の緩和を目的とした緩和療法などがあります。手術は主としてI期とⅡ期に対して行われますが、Ⅲ期(癌がある側の縦隔リンパ節転移がある、あるいは周囲臓器に浸潤している場合)であっても手術療法を選択する場合があります。肺癌に対する標準術式は、癌の存在する肺葉の切除と所属リンパ節に転移がないかどうかを確認するためのリンパ節郭清術から成ります。I期及びⅡ期の肺癌では、主に胸腔鏡下手術あるいはロボット支援(ダヴィンチ)手術によりこの標準手術を行います。術後6〜7日で退院できる方が多いです。

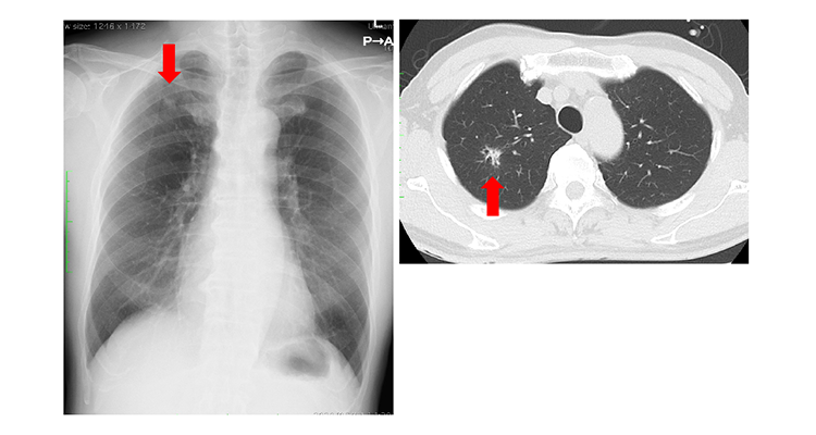
原発性肺癌(右上葉肺癌)の胸部レントゲン写真と胸部CT。矢印は原発性肺癌を示しています。
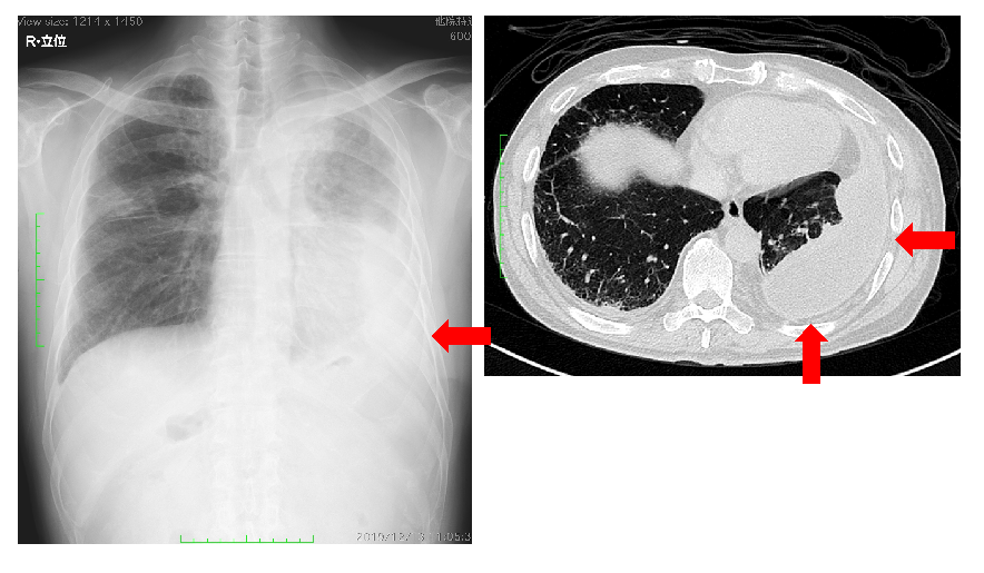
一方、胸壁などにがんが浸潤したⅢ期の進行肺癌では、がんのある肺葉に加えて肋骨を含む胸壁を一緒に切除するような拡大手術を行います。

胸壁へ浸潤した原発性肺癌の胸部レントゲン写真と胸部CT。矢印は原発性肺癌が胸壁へ浸潤しているところを示しています。
気胸

左気胸の胸部レントゲン写真。矢印は気胸により虚脱した肺を示しています。
肺とその入れ物である胸郭に囲まれた部位を胸腔と言います。気胸とは肺から空気が漏れて、胸腔に溜まっている状態をいいます。この時、漏れた空気は肺を押すため肺は伸展できなくなり息が苦しくなったり、胸郭側(肺には痛みの神経はありませんので、痛むのは胸壁側です)に痛みが出たりします。手術では、1〜3つの小さな創から胸腔鏡下に、空気が漏れる原因となっている肺の一部を切除したり(部分切除)、空気もれの再発を予防するために肺表面を吸収性シートで補強したりします。術後2〜3日で退院できる方が多いです。
転移性肺腫瘍
肺は悪性腫瘍が転移しやすい臓器の一つであり、各臓器に発生したがんが、血流を介して肺に転移したものを転移性肺腫瘍(転移性肺癌)と呼びます。転移性肺腫瘍に対する治療は原発巣(最初にがんが発生した臓器)の特徴により様々ですが、外科的切除も一つの選択肢です。1) 原発巣治療後局所再発がないこと、2) 肺以外の臓器への転移がないこと、3) 肺転移巣の完全切除が可能なこと、の3つを全て満たした場合に手術適応と考えます。手術は主に肺転移巣を周囲肺組織とともに楔城に切除する肺部分切除術を行います。術後2〜4日の入院期間を要します。

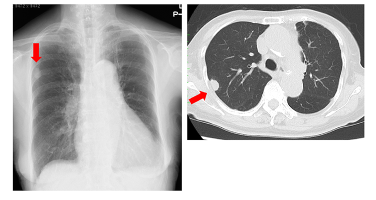
転移性肺腫瘍の胸部レントゲン写真と胸部CT。矢印は転移性肺腫瘍の結節を示しています。
縦隔腫瘍

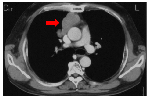
胸腺腫の胸部CT。矢印が胸腺腫の腫瘍を示しています。
横隔膜より頭側(上方)で左右の肺に挟まれた部分を縦に隔てると書いて縦隔(じゅうかく)と呼びます。そこに発生した腫瘍が縦隔腫瘍です。縦隔腫瘍には、胸腺腫、神経原性腫瘍、胚細胞腫、胸腺癌、気管支嚢胞など様々なものが含まれますが、最も多いのは胸腺腫です。胸腺は胸骨の裏、心臓の腹側の前縦隔にあり、免疫に関するリンパ球を成熟させる臓器です。成人になると退化して脂肪組織になりその働きを終えますが、胸腺腫はこの退化した胸腺の細胞から発生します。胸腺腫は肺癌と比べると悪性度の低いものが圧倒的に多いのですが、進行すると周囲の臓器に浸潤したり胸の中に散らばったり(播種)する性質を持ち、悪性腫瘍に分類されます。手術が最も治癒の期待できる治療法です。主に胸腔鏡下手術やロボット支援(ダヴィンチ)手術により1〜4つの小さな創から胸腺ごと腫瘍を摘出します。術後2〜4日の入院を要します。周囲の血管などへの浸潤が見られる場合には胸骨正中切開で手術を行います。
膿胸
膿胸は、胸腔内に膿性の液体がたまった難治性感染症です。外傷や肺炎に起因して発生したり、肺癌術後に発生したりします。発症から3ヶ月以内を急性膿胸、3ヶ月以上経過し肺の表面に何層もの膜が作られて肺が本来の形に伸展することができなくなったものを慢性膿胸と呼びます。治療は、まず胸腔ドレナージと抗菌薬の点滴静注を行います。血中から析出したフィブリンによる不溶性の線維性被膜が形成されていることが多いため、必要に応じてフィブリンを溶解する薬剤を胸腔内に注入しますが、それでも改善しない場合には胸腔鏡下に胸腔内の汚染物質を掻き出す手術(搔爬術)を行います。慢性膿胸では、膿胸腔を清浄化し消滅させるために、開窓術や胸郭成形術、筋弁充填術などの手術、胸腔ドレナージに加え、栄養管理・リハビリテーション・口腔ケアなど全身状態を改善させる補助療法を駆使して治癒を目指します。入院治療期間は数週間〜時に数ヶ月に及びます。

左膿胸の胸部レントゲン 写真と胸部CT。矢印は膿胸部分を示しています。

