加瀬グループ
研究概要
主にヒトiPS細胞から脳オルガノイド(ミニチュア脳)やニューロン、アストロサイトなど神経系の細胞を作成して多岐にわたる研究をしています。キーワードは再生、老化、創薬です。
1, 神経再生治療研究
外傷性脳損傷や脊髄損傷により欠損した中枢神経の組織は完全に自然回復することはなく、麻痺や高次脳機能障害などが残存してしまいます。脊髄損傷のiPS細胞を用いた再生治療については慶應義塾大学で臨床治験が始まった一方で、外傷性脳損傷などにおいて失った脳機能を回復させるための再生医療はまだ道半ばであります。私は脊髄損傷の再生治療においては、2つの特許申請を含む実績を積み重ね、それを元に外傷性脳損傷の再生治療に向けた研究を進めています。
特にiPS細胞由来の神経幹細胞・前駆細胞を移植したのちに分化したニューロンの軸索を如何に伸長させるか、また移植されたホスト側の残存組織を如何に活性させるかに着目して研究を進めています。
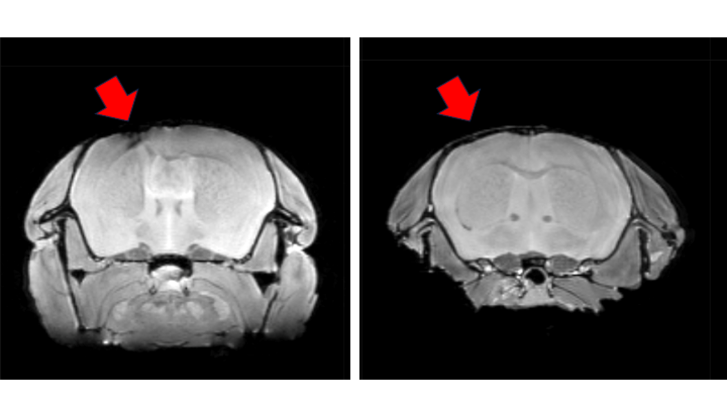
再生したマウスの脳MRI画像
2, COVID-19による中枢神経障害の研究
中枢神経障害を引き起こす新型コロナウイルス感染症において、「新型コロナウイルスが果たしてニューロンに直接感染できるのか?」という疑問に対して、数多くの研究結果から、新型コロナウイルスはニューロンへは感染しづらいことがわかっていました。しかし、ウイルスが変異を起こした場合のその感染性の変化や、他の各種神経系細胞への感染性については十分に検証されていませんでした。さらには、ニューロンへ感染しづらいのならば、なぜ中枢神経障害が起きるのかははっきりわからず、全身の炎症が原因だと思われてきました。そこでヒトiPS 細胞から脳の主要構成細胞であるニューロン、アストロサイト、ミクログリア、さらに脳オルガノイドを作成してウイルスの感染性を調べたところ、アルファ株からオミクロン株に至るまで、ミクログリアに効率的に感染することがわかった一方でニューロンや神経幹細胞には感染しないことが明らかになりました。さらにミクログリアへの感染では、ACE2 ではなく、DPP4 がウイルス感染時の受容体として有力であることまで判明しました。
なぜCOID-19では神経障害が全脳的に生じるのかの一端が解明できたので、現在は後遺症で問題なっているブレインフォグなどを対象とした治療薬開発を目指して研究をしています。
ミクログリアに感染している免疫染色像
3, オミクス解析における細胞状態の定義に関する
理論研究(客員研究員:岡野雄士)
多細胞生物の体を構成する数々の細胞は、その解剖学的形態と生理学的機能によって分類され、生物の種分化に擬えた「細胞種」として理解されてきました。また、細胞種とは別の文脈で、細胞が炎症やストレスなどに代表されるような外界からの入力に応答するように表現型を変化させることが知られており、これらは静的な細胞型とは異なる、動的な「細胞状態」として定式化されてきました。しかし、オミクス解析技術の隆盛により、科学者が観測可能な細胞の情報が量的・質的に向上することによって、細胞をその類型ではなく、データ空間上の点群として捉えることが一般的となり、次第に細胞種と細胞状態が不可分な概念として扱われるようになってきています。
現在のオミクスデータ駆動型研究の課題点として、データ空間上の点群のクラスターをそのまま生物学的に扱うことが困難であるため、一度アノテーションによって生物学的な類型(細胞種や細胞状態の名称など、自然言語による説明)と紐づけて議論が行われていますが、異なるデータ間や研究報告間での比較検討が困難となります。
そこで、本研究では古典的な細胞種の分類方法にヒントを得て、形態情報の得られないオミクスデータにおける細胞の機能を「遺伝子発現の連動性のグラフ」として表象し、その類似性を半疑距離空間上で定量化することで、データの差異や解析方法の差異を超えた比較可能性を実現しました。
一方で、オミクスデータの生データからクラスターを決定する上で最適な空間への変換方法に関する議論は未解決であるため、オミクスデータの特性を反映しつつ、生物学的に有意義で解釈可能なクラスターを得るための空間設計について、さらに研究を進めて参ります。
Okano Y, Kase Y, et al, 2022
4, オーラルフレイル、歯周病による
全身のフレイルへの影響の解析
慢性炎症は負の影響を全身の臓器に与えることが報告されています。全身の臓器の中でも特に中枢神経系である脳は炎症に脆弱な臓器とされており、微細な慢性炎症に対して脆弱であり、これが長期間続くと、アルツハイマー病などの認知機能障害や神経変性疾患のリスク要因となり、かつ悪化を招くことが報告されています。
現在の日本社会は超高齢社会と言われ久しいですが、未だ高齢発症が中心となる認知機能障害やアルツハイマー病の発症メカニズムや治療法の確立には至っていません。特に高齢者では口腔内の慢性炎症である歯周病や、オーラルフレイルの状態が悪い方ほど認知機能の程度が低い傾向にあることは報告されていますが、実は「歯周病による慢性炎症が原因で認知機能障害をきたす」のか、「認知機能障害の程度が酷い患者が口腔ケアも疎かになっているだけ」なのかの正確な回答は出ていないのが現状です。これは私が病棟で指導医を務めていた際にも感じていた臨床現場での疑問でもありました。
本研究では精細な重症度別の歯周病モデルマウスを作成し、そのモデルマウスの認知機能を評価し、さらに脳内で慢性炎症により何が生じているのかを明らかにすることを目的としています。口腔感染症である歯周病と全身疾患に関する学問領域はPeriodontal medicine(歯周医学)と定義され、歯周病を「歯周組織の感染から引き起こされる持続的な慢性炎症」という観点で捉え、本研究課題では特に脳に着目して研究をしています。
慶應義塾大学医学部歯科・口腔外科学教室と東京大学医学部附属病院老年病科と共同で進めています。
