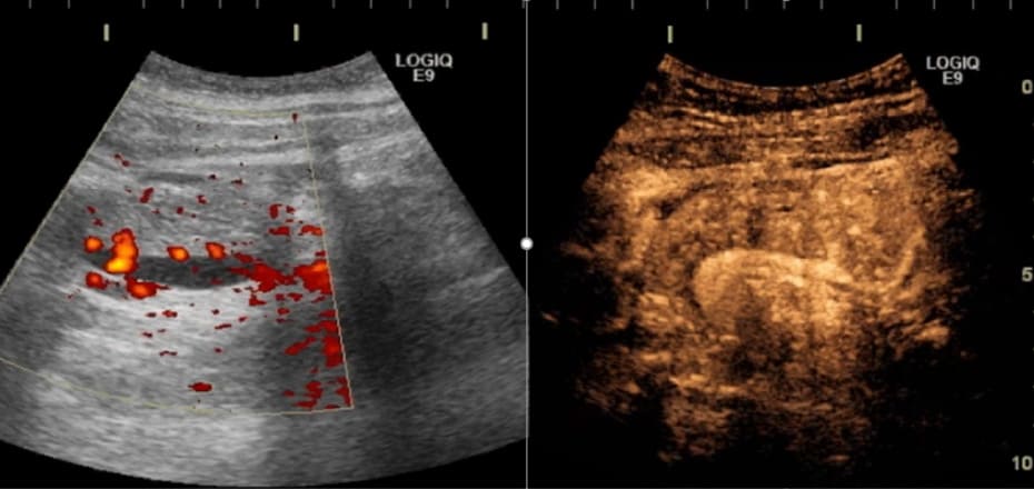
膵臓移植後の組織灌流測定
膵臓移植の重大な合併症の一つに,移植膵静脈血栓症があります.
これは移植直後の膵臓内の静脈血流が非常に緩やかであることが一因となっています.
体内の静脈血流を測定することは非常に難しいのですが,当科では造影超音波を使用することで血流の評価を可能としました.
これを用いて静脈血栓症のスクリーニングを行っています.また,移植直後の組織灌流に注目し移植膵機能と相関していることを発見しました.
このほかにも組織灌流と様々な事象との関連を検討しています.
造影CTを使用したドナー腎機能検査
生体腎移植のドナー適応を判断するためには,正確な腎機能の評価が大切です.通常は採血と蓄尿を組み合わせた検査を行いますが,非常に煩雑な検査です.そこで私たちは造影CTを使用して腎機能検査を行えるよう研究をしています.造影CTはドナーとなられる患者さんに基本的に受けていただく検査であり,検査時間も短時間です.施行した症例では,従来の検査と強い相関を示しました.

ラット膵島とMuse細胞の共移植の効果ついての検討
膵島移植は通常膵島浮遊液を門脈内に投与し移植しますが,多くは肝臓内で死滅してしまうことが知られています.
私たちは,本研究を通じて移植効率を上げられないかを検討しています.
Muse細胞は生体内に存在する多能性幹細胞であり,傷害部位に遊走し組織修復に関与することが知られています.
共移植することにより膵島組織への傷害が軽減されることを期待し研究をすすめています.

患者さんの診療情報を基にした臨床研究について
当科では受診いただいた患者様の診療情報を利用した臨床研究も行っています.指針では研究に用いられる情報の利用目的を含むその研究についての情報を公開し,研究が実施されることについて患者さん(ご家族を含む)が拒否できる機会を保障することが必要とされています.
当科の臨床研究については,本学の情報公開ページを参照ください.当科に通院中の患者さん(ご家族を含む)で,診療情報を研究に使用してほしくない方や,研究の内容について知りたいことがある場合はご連絡ください.
