膝関節について
「膝班」の担当分野は大腿骨骨幹部から足趾までと幅広く、扱う疾患も慢性疾患(膝関節・足関節・足部)、下肢外傷、関節リウマチ、足部壊疽など多岐にわたります。
手術は毎週月曜日午前、水曜日全日と木曜日午前に行い、適宜緊急手術にも対応しています。
昭和50年人工膝関節全置換術(total knee arthroplasty:
TKA)を導入し、
現在では変形性関節症(osteoarthritis: OA)や関節リウマチ(rheumatoid arthritis: RA)に対して年間200件以上施行しています。
また、当班では下肢外傷(大腿骨骨幹部骨折、大腿骨顆上骨折、膝関節内骨折、膝蓋骨骨折、下腿骨骨折、足関節脱臼骨折、足部骨折)手術も行っており、
特に当科の伝統的な手技である骨幹部骨折に対するEnder髄内釘固定術は、脛骨骨折や開放骨折、学童期の下肢骨折、既存インプラントのある症例に良い適応があります。
その他、足関節・足部の慢性疾患、人工足関節置換術、足関節固定術、外反母趾手術、尖足に対するアキレス腱延長術などを施行しています。
さらに、RA治療は膝関節、足関節、足部MTP関節に対する手術のほかに生物学的製剤やメトトレキセートによる内科的治療もしています。
専門スタッフ紹介


金子 陽介(Yosuke Kaneko) 講師
東京医科大学卒業
【専門】膝関節、下肢外傷、再生医療

野尻 翔(Sho Nojiri) 講師
藤田保健衛生大学卒業
【専門】膝関節、下肢外傷

柴田 紘兵 (Kohei Shibata) 助教
帝京大学卒業
【専門】膝関節、下肢外傷

早川 和樹 (Kazuki Hayakawa) 助教
兵庫医科大学卒業
【専門】膝関節、下肢外傷
実績紹介
人工膝関節全置換術(TKA)・人工膝関節内側置換術(unicompartmental knee arthroplasty: UKA)
近年、TKAは手術支援ロボットを用いて施行されるようになってきました。当科では2020年9月にZIMMER BIOMET社製のROSA(robotic surgical assistant)
Kneeシステムを全国に先駆け導入しました(図1)。ROSAの特長は術者がプランニングした骨切り位置まで、カットブロックをつけたロボットアームが正確に誘導されることです。またパネルには設置角度、骨切り量、バランス値が0.5㎜、0.5°の単位で可視化され、術者は常にこれらを確認して修正を加えることができます。よって良好な手術手技が期待できます。当科ではこれまでにROSAを使用して210件のTKAを行い、優れた効果を実感しています(2022年5月)。
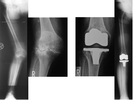
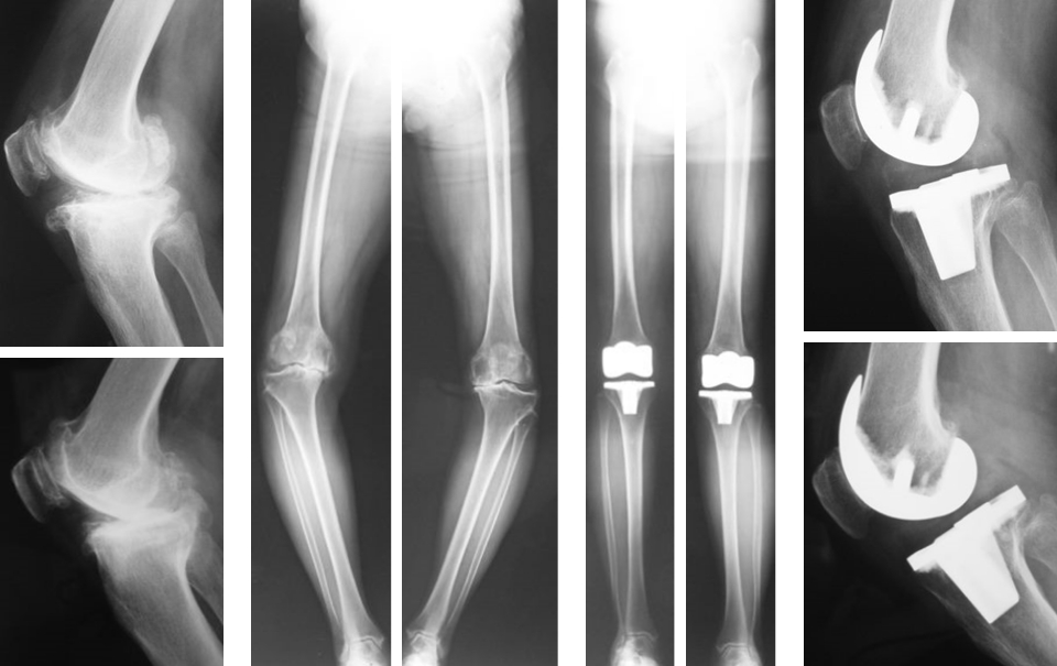
TKAはおもにOA(図2,3)やRA(図4)、UKAは骨壊死(図5)やOAの内側罹患例に行います。左右罹患例には両膝同日手術も施行しています(図3)。手術の目的は除痛、膝関節機能の回復によるADL、QOLの改善です。
人工膝関節は多機種ありますが、当科では自家組織(骨や靭帯)温存に配慮して、主に前十字靭帯のみ切除するCR型を選択し、膝蓋骨は非置換、セメントレス用コンポーネントを用いています(図2)。後療法は両側例でも翌日から離床と荷重を許可し、入院加療は約2週間です。
図1 ROSA Knee
手術支援ロボット
図2 片側TKA
図3 両側OAに対する両側同日TKA
図4 RAに対するTKA
図5 大腿骨内側顆部骨壊死に対するUKA
下肢骨幹部骨折に対するEnder nailing
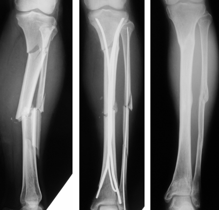
(1)脛骨骨折:下腿は軟部組織が菲薄で特に脛骨遠位は開放骨折になりやすい傾向にあります。Ender釘の挿入は比較的容易で挿入部位が4ヵ所あり、開放創を避けて挿入することができます。分節骨折に対してもよい適応があります(図6)。
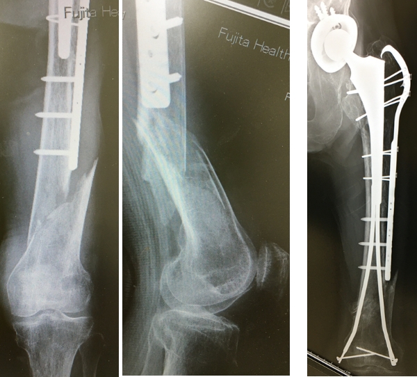
(2)学童期の大腿骨/脛骨骨幹部骨折:治療の多くは非観血的治療ですが、転位を伴った場合には観血的治療が望ましい症例もあります(図7)。早期の復学を目指す手術方法として有効で術後早期に自動運動が可能であり、入院期間を短くし家族の負担も減らせます。Ender釘は骨端線を避けて挿入することが可能であり、長さや径も豊富です。
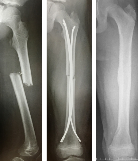
(3)既存インプラントがある下肢骨折:既存インプラントを避けて挿入することができれば有用です(図8)。
図6 脛骨分節骨折に対するEnder髄内釘固定術
図7 学童期の大腿骨骨幹部骨折に対するEnder髄内釘固定術
図8 プレートを避けてEnder髄内釘を挿入
足関節障害に対する外科的治療
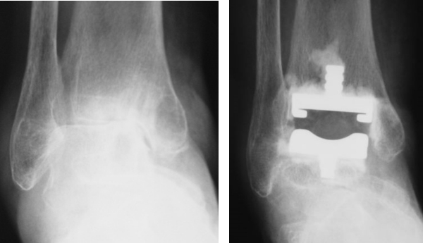
OA、RAの足関節障害には人工足関節置換術(total ankle arthroplasty: TAA)(図9)や関節固定術を行います。TAAは距踵病変がなく、比較的変形の少ない例に施行され、可動性を保つことができます。固定術は高度変形にも適応があり、関節の安定化が期待できます(図10)。RAは距踵関節にも破壊が生じやすいため、距腿関節と距踵関節(Tibio-talo-calcaneal: TTC)を同時に逆行性髄内釘で固定することもあります(図11)。
図9:人工足関節置換術
図10 足関節固定術
図11 RAの足関節障害に対するTTC固定術
RAの前足部変形に対する関節温存手術
RAの前足部障害は多く認められ、末期には中足骨頭が底側に脱臼し、足底に胼胝を形成します。治療は脱臼した中足骨頭を切除する切除関節形成術が行われていましたが、近年薬物による関節修復の可能性や関節機能を再獲得する目的で関節を温存する手技に変わりました。手技は左図のように中足骨骨幹部遠位を短縮骨切り後、中足骨頭を近位へ引っ張り脱臼を整復して関節を温存します(図12)。これにより可動域や踏み返しが可能となり除痛、さらに地面をとらえた良好な歩容を目指します。
図12 RAに対する関節温存手術






