骨軟部腫瘍について
骨や軟部組織(筋肉、脂肪組織など)に発生する腫瘍を骨軟部腫瘍と呼びます。整形外科腫瘍班は骨軟部腫瘍を専門的に治療しております。また、肺癌や乳癌などほかの臓器に発生したがんが骨に転移した転移性骨腫瘍についても他科と連携して治療を行っております。
骨軟部腫瘍には良性腫瘍と悪性腫瘍があり、悪性の骨軟部腫瘍は肉腫(サルコーマ)と呼ばれております。肉腫は軟部に発生する脂肪肉腫や骨に発生する骨肉腫など非常に多くの種類がありますが、肉腫をすべて集めても年間の発生数は悪性腫瘍全体の約1%であり、一つ一つの肉腫はすべて“希少がん”です。そのため、肉腫を専門とする医師や施設が少なく、患者さんが正しい情報を得られずにより良い治療を求めてさまよう“がん難民”を生み出す原因となっております。
肉腫は全身どこにでも発生し、治療には手術、化学療法、放射線療法を組み合わせた集学的治療を行う必要があります。そのため整形外科医だけではなく、病理診断医、放射線科医、腫瘍内科医、形成外科医、皮膚科医、外科医、リハビリテーション医などを含めた他科連携が必須です。我々の施設では、毎月サルコーマキャンサーボードを開催し、診療科の垣根を超えたチーム医療を行うことで、患者さんに最適な治療を提案できるようにしております。
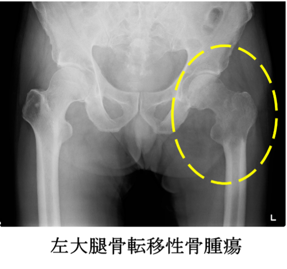
転移性骨腫瘍は、骨の痛みや病的骨折、脊髄麻痺の原因となり、がん患者さんの日常生活に大きな影響を与えます。転移性骨腫瘍の治療は原発巣の治療を行う主治医との連携と、腫瘍に対する幅広い知識が不可欠です。しかし、腫瘍を専門とする整形外科医は少なく、適切な治療を適切な時期に受けられないこともあります。我々は主治医とともに積極的に転移性骨腫瘍の診療に参加し、がん患者さんが失ってしまった日常を取り戻せるよう、また、現在の日常を失わないようにサポートしております。
専門スタッフ紹介

下山 哲生(Tetsuo Shimoyama) 講師
藤田保健衛生大学卒業
【専門】骨軟部腫瘍

志貴 史絵(Fumie Shiki) 助教
藤田保健衛生大学 卒業
【専門】腫瘍、学生教育
実績紹介
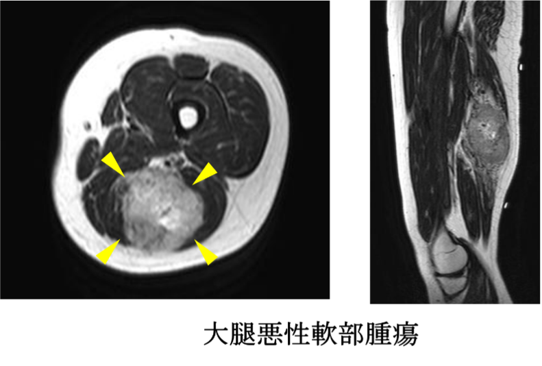
悪性腫瘍広範切除術
肉腫の手術は広範切除術が基本となります。肉腫は周囲の組織に目に見えない微小浸潤をしていることが多く、腫瘍だけを切除すると周囲から再発する確率が高いため、腫瘍を周囲の正常組織で覆って切除する“広範切除”が必要です。広範切除後の組織欠損に対して人工関節や骨移植、植皮、筋皮弁などを用いた再建が必要になることがあります。組織再建は皮膚科や形成外科と協力して行っております。


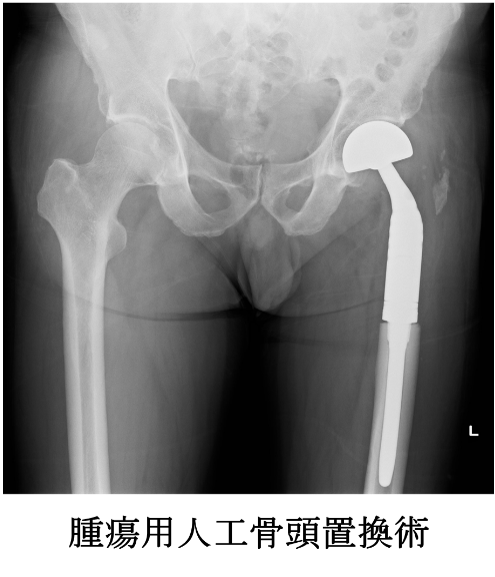
腫瘍用人工骨頭置換術
当科では、大腿骨近位部の骨腫瘍、特に転移性骨腫瘍に対して腫瘍用人工骨頭置換術を数多く行っております。骨接合術と比較して術後の歩行訓練を早期から行うことができる利点があり、術後の歩行機能も良好です。主に使用しているのはKyocera社のKMLS systemです。幅広いバリエーションが選択できるモジュラータイプのインプラントで、ステムの固定法もセメント固定とセメントレス固定が選べる仕様となっております。


CTガイド下針生検
骨軟部腫瘍はCTやMRIなどの画像だけでは確定診断ができず、組織を採取して病理診断を行うことが必須です。また、転移性骨腫瘍の原発巣診断にも病理診断は有用です。組織採取には切開生検と針生検などの方法がありますが、我々は放射線科と協力してCTガイド下針生検を行っております。日帰りの検査で切開生検よりも傷が小さく、神経や血管などを避けて安全に検査することができます。診断率も95%以上で非常に有用な検査です。








