MIS-DA法の進入方法
図の実線(赤線)のように大腿筋膜張筋と大腿直筋の筋間中隔を割って入る方法で、
簡単な血管処理のみで容易に股関節前方に到達できるため筋肉の損傷がほとんどなく、術後の筋力低下や疼痛が他のアプローチと比較して少なく、
早期の荷重歩行訓練開始が可能となります。脱臼の危険性も低く安定した可動域の獲得が得られるとともに、入院期間の短縮も可能となります。
左右脚長差の補正ももちろん可能です。また昨年から皮膚切開を縦皮切からビキニ皮切に変更し、術後の痺れ予防、ケロイド防止対策として有効性を発揮しております。
股関節について
股関節は人体の体の中心部に近く位置する球状の関節です。股関節はボール状の大腿骨頭とソケット状の寛骨臼より構成され、あらゆる方向へ自由に運動することが可能です。
股関節には、比較的小さな球状の関節に歩行や運動の際には体重の2~3倍のストレス(負荷)がかかり、損傷をうけやすいことも事実であり、その治療には専門的な工夫が必要です。
股関節班が対応する主な疾患、外傷には以下に示すようなものがあります。当科では、多様な股関節疾患に対して多数の専門家が協力して診療にあたっております。
また、私立の大学病院としての特色を生かして、内科、外科、リハビリテーション科などとの連携を密にして、他の病院では治療が困難な全身合併症のある患者様に対しても、
全身管理を得意とする担当医が十分な術前の検査、評価を行い、積極的に手術治療を行っております。また大学病院として、例年東海地域において最も多い人工股関節手術件数を誇っております。
外来受診
股関節外科担当医外来は手術日である火曜日、金曜日を除きすべての曜日に対応しています。
化膿性股関節炎、人工股関節脱臼などの緊急性のある疾患では、時間に関係なく受診することができます。
整形外科外来の時間内(主に午前診療)であれば整形外科外来に、時間外であれば救急外来にかかって頂き、
必要性がある場合には入院いただくことになります。通常変形性股関節症などでは、まず整形外科の初診外来にかかって頂き、
そこで初診医が診察し、適切なアドバイスと初期対応ののち専門医師の再診予定日の予約票が渡されます。
病診連携により事前に他施設からの紹介状をいただいた場合には直接専門外来の受診も可能です。
その場合、直接担当医を指名いただくか、当方の病診連携室で担当する専門医を指定し、その専門医の外来日に合わせて受診することができるため、
より便利です。東海地域全域のほか、関西・北陸・中国・九州方面からも手術治療のため紹介来院されておられます。
専門スタッフ紹介

森田 充浩(Mitsuhiro Morita) 准教授
防衛医科大学校卒業
【専門】股関節、関節リウマチ、骨粗鬆症

佐藤 圭悟(Keigo Sato) 講師
藤田保健衛生大学卒業
【専門】股関節、下肢外傷

谷口 巧 (Takumi Taniguchi) 助教
藤田保健衛生大学卒業
【専門】股関節、下肢外傷

蜂谷 紅 (Kurenai Hachiya) 助教
藤田保健衛生大学卒業
【専門】股関節、下肢外傷

草深 康貴 (Koki Kusabuka) 助教
川崎医科大学卒業
【専門】股関節、下肢外傷
実績紹介
最小侵襲手術(minimally invasive surgery)による人工股関節置換術
人工股関節置換術は変形性股関節症や関節リウマチによる疼痛や歩行障害を改善するのに効果的な手術ですが、
患者様への体の負担(手術侵襲といいます)が大きいのが難点でした。外来でも、人工股関節置換術をお勧めすると、
大きな手術であるとお考えになり、躊躇なさる患者様が多いのも事実です。
当整形外科では人工股関節置換術の体への負担を減らすため、主に低侵襲手術(minimally invasive surgery, MIS と略されます)を施行しております。
低侵襲人工股関節置換術(MIS-THA)では、従来の手術法では15~20cmぐらい必要であった皮膚切開が約8~10cm程度で済み(小皮切)、
また術中出血量も軽減できます。また、筋肉への障害も少ないので(筋腱温存)手術後の筋力低下が少なく、
疼痛も従来法に比較して少ないことから術後リハビリテーションのための入院期間が短縮できます。具体的には、
前方進入法(MIS-Direct Anterior法)や前側方進入法(MIS-Antero lateral supine法)を用いております。
仰臥位手術であることから体位変換が不要ですので、両股関節症であっても両側同日手術が可能です。一般的な人工股関節置換術を受けた患者様は、
以前は約3~6週間程度の入院が必要でしたが、これらMIS法では、約10日~2週間に短縮されており、早期の社会復帰が可能となっています。
合併症といわれる手術創部感染症(SSI)や術直後の人工股関節脱臼はここ数年ほぼ皆無に等しい良好な治療成績を収めております。
また、MIS手術においては術後の患者様の痛みを極力減らすべく、硬膜外麻酔やカクテル注射を併用したり、抗菌糸埋没縫合によって術後の抜糸をなくし、
止血管理によってドレーン留置をなくすなど、他院ではなかなか得られることのできない術後疼痛予防対策を標準化することにより、患者様方から大変御評価いただいております。
一方で、単にMIS法による手術を行うだけでは、この手法の長所が最大限に発揮されることは困難です。
手術前後からリハビリテーション科と連携して日々の筋力トレーニング・歩行訓練を実施することで早期の日常生活復帰をめざすことが可能となります。
併せて、MIS法を行う患者様にはリハビリテーション科と協力し、手術を行う前か患者様の筋力や歩行解析を行い、
個々の患者様に合わせたきめ細かいリハビリテーションを行うよう心がけております。
以上のような利点を持ったMIS法ですが、残念ながら、すべての患者様に施行できる手術法ではありません。
現在のところ、関節の破壊や変形が高度な場合、手術前の関節の動きが極端に不良な場合、高度の肥満患者様は、従来の手術法の方が安全であるとされています。
当整形外科では、各種の画像データなどを参考にして患者様に十分にインフォームドコンセント(手術内容の説明)を行った上で、どちらの手術法を選択するかを決定しております。
人工股関節手術においては術式のほかインプラント機種の選考も重要なポイントです。当科では10年以上の中長期にわたる臨床成績が95%以上の非常に良好な機種を中心に用いているほか、
股関節の骨形状に応じて適切なインプラントを選考し使用しております。特に若年者や骨質の良好な患者様に対して、骨温存の観点からショートステムの使用も行っており、良好な中期臨床成績を得ております。
これらのインプラントは表面加工や形状の工夫により骨親和性に優れているためゆるみが生じにくく、また関節褶動面の低摩耗性を実現しているために長期におよぶ耐久性を獲得しています(長寿命型人工股関節)。
材質は本体がチタン合金、関節面にセラミックや抗酸化高分子ポリエチレンを使用した機種が選択可能です。加齢により骨粗鬆症が強いと判断された場合には骨セメントを用いた機種の対応もおこなっております。
さらに、入院中のリハビリのほか、もともと筋力低下の著しい方、高齢者、その他希望される方について退院後のリハビリを必要とする場合には、
状況に応じて地域関連施設もしくは紹介元病院との連携により回復期リハビリの調整を行うことが可能ですので、受診時にご相談ください。
MIS-DA法の紹介
この方法ではこれまでの多くのアプローチと異なり、股関節周囲の筋肉を切離することなく手術を実施できるため、術中の出血量が少ないほか、
筋力低下をほとんど生じませんので術後1~2日での歩行訓練開始が可能です。ベッドからの離床が1~2日と早く(トイレを含む)、
また術後のリハビリ内容も難しくありませんので非常に好評です。創部の具合や全身状態にもよりますが、入院期間も平均2週間と短く、早期社会復帰が可能です。
老若男女を問わず実施できますが、高位脱臼股関節症など著しく変形している場合や3cm以上の脚長差を有する患者さんには一般的に不向きです。
当院では2009年から導入しておりますが、MIS-DA法を実施した患者さんの術直後脱臼はこれまでのところなく、関節可動域も良好で安定した臨床成績をおさめています。
手術実施患者さんの例
50歳 変形性股関節症 MIS-DAによる人工股関節置換術
術後3日目に歩行訓練開始し術後2週で杖なし歩行で退院
58歳 大腿骨頭壊死 MIS-DAによる右人工股関節置換術
術後2日で離床、3日めに歩行器歩行訓練開始、5日で杖歩行、7日で杖なし歩行可能となり2週で退院
86歳 続発性変形性股関節症 MIS-DAによる右人工股関節置換術
術後3週で杖歩行により退院
変形性股関節症
股関節疾患の中では最も重要で一次性と二次性に分けられていますが、本邦では先天性股関節脱臼に関係する二次性変形性股関節症が殆どです。
本疾患は前期、初期、進行期、末期の4段階に分類され、先天性股関節脱臼治療後の遺残臼蓋形成不全あるいは未治療の臼蓋形成不全
(X線のみで診断、本人は気付かないことが殆ど)が成長終了後あたりから徐々に進行していきます。患者さんはまず股関節の痛みで整形外科を受診されます。
前期、初期では、保存療法が第一選択されます。しかし、高度な臼蓋形成不全がある場合は、進行を防止するためにも手術療法を行うことがあります。
進行期・末期でも保存療法を中心にしていますが、疼痛の程度が強い場合で患者さんが希望されるなら手術療法を行います。
保存療法には鎮痛消炎剤などの薬物療法、生活指導や装具療法などの負荷軽減療法、筋力トレーニング療法などがあります。
薬物療法には飲み薬や湿布剤などがありますが、あくまでも一時凌ぎであり、また副作用もあることから、疼痛の強いときだけ使用することを勧めています。
変形性股関節症の進行を食い止めるために、筋力トレーニングと日常生活の活動性を低下させ股関節に対する負荷を軽減する方法があります。
進行期・末期の患者さんは疼痛が強く、手術を希望される方が多いですが、保存療法を行うことによって痛みも軽減しますので、
人によってはそのまま様子をみることも可能です。
手術療法は骨盤あるいは大腿骨を骨切りして、関節の適合性の改善を図る方法と人工股関節置換術を行う方法があります。
若年者の前期・初期および一部の進行期に対して、骨頭変形がなく回転により適合状態が改善される場合は寛骨臼回転骨切り術を施行しています。
従来この手術法は骨盤内血管損傷の危険性を有していましたが、前方より骨盤内壁を十分に展開する方法を考案し、極めて手術が安全に行えるようになりました。
年間手術件数は5~10件程度です。比較的若年者の骨頭変形のある進行期関節症には,関節荷重面の拡大と適合状態の改善を目的として大腿骨外反骨切り術と骨盤骨切り術の併用手術を行っています。
骨盤骨切り術はX線機能撮影による適合状態を十分に検討して、寛骨臼回転骨切り術あるいはChiari骨盤骨切り術のどちらかを選択しています。
比較的高齢者の進行期および末期関節症に対しては人工股関節置換術を選択しています。骨粗鬆症があり髄腔の拡大した高齢者ではセメント使用人工股関節を、
比較的若い人ではセメント非使用人工股関節を中心に使用しています。年間手術件数は160~200件程度です。人工股関節後のゆるみに対しては再置換術を施行します。
年間手術件数は20件程度です。いずれの手術においても手技が確立されており、極めて良好な臨床成績が得られています。
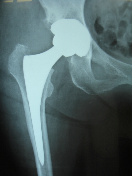
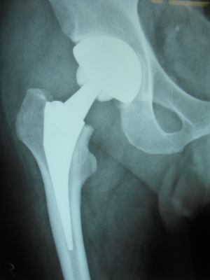
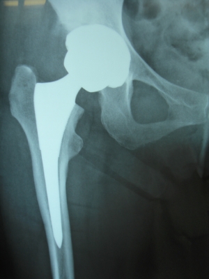
変形性股関節症のレントゲン像(A)と骨頭表面(B)および断面(C)、THA術後(D)
大腿骨頭壊死症
特発性と症候性に分けられています。特発性は大腿骨頭の血行が阻害されて骨壊死を生じ、骨頭の陥没、変形、破壊を来す疾患ですが、原因はよくわかっていません。
大腿骨頚部骨折や股関節脱臼などの外傷後に発生するものや潜函病や放射線照射による骨壊死など原因のはっきりしているものは症候性とされています。
特発性大腿骨頭壊死は厚生労働省の特定疾患となっており、認定されれば医療費の補助が受けられます。
この特発性の中にSLEや強皮症などの疾患で副腎皮質ホルモン(ステロイド)を多用したステロイド性、アルコール多飲者のアルコール性、
全く原因不明の狭義の特発性に分けられています。その判定基準としては種々ありますが、骨シンチグラムとMRIは必須の検査です。
本疾患は壊死範囲と進行度により治療法が異なります。壊死範囲も小さく、変形があまり進行しないものでは保存療法が選択されます。
壊死範囲が広く変形性変化が進行性のものでは手術療法が選択されます。若年者で骨頭陥没がありますが、
臼蓋にまで変形性変化が及んでいない場合は大腿骨頭回転骨切り術を行っています。以前は年間10件以上の手術件数でありましたが、
成績が必ずしも一定しないこと、荷重開始が術後3ヵ月と後療法に時間がかかることなどにより、現在の年間手術件数は数件程度にとどまっています。
高齢者では人工骨頭置換術を選択していますが、20歳代の若年者でも荷重開始が3ヵ月と遅い大腿骨頭回転骨切り術よりも人工骨頭置換術や人工関節置換術を選択する患者が多い傾向にあります。
年間手術件数は30件ほどで、全国的にも多くの患者様が治療されています。
大腿骨頭壊死症のレントゲン像(A)と骨頭断面(B)およびTHA術後(C)
リウマチ性股関節症と急速破壊型股関節症
いずれの疾患も変形性股関節症によく似た経過を辿り、しかも比較的早期に関節そのものが破壊されますので人工股関節置換術が主として行われています。 骨盤側に突出した場合には骨移植とサポートリングといった補強材料を用いた再建術を行っています。ステロイド治療などにより極度に骨粗鬆症が進行した患者さんにおいては、 セメント人工股関節の使用および院内骨銀行の保存骨を用いた骨移植手術も併用することが可能です。 当科では生物学的製剤治療を実施されている患者様におきましても安全に手術療法が受けられるよう、 十分な周術期管理がなされておりますので安心して治療を受けていただくことが可能です。
リウマチ性股関節症のレントゲン像
THA術後
関節リウマチの薬物治療
関節リウマチは体のいろいろな関節が炎症を起こして腫れたり痛んだりする病気です。
30歳頃から60歳頃に発症することが多く、女性が男性の3倍ほど多く起こりやすいことが知られています。
人差し指から薬指の指先の2番目の関節と指のつけ根の関節(近位指節関節と中手指節関節といいます)や手首、膝関節、足指などが腫れて痛むことから始まることが多く、
朝起きた際にこわばりを多少なりとも感じることがあります。数週間かけて徐々に腫れと痛みが進行し、その数が増えていきます。
似た症状を引き起こす病気はほかにも知られていますが、左右両側に出現していれば関節リウマチの可能性が高いと考えられます。
放置すると進行によって関節の軟骨や骨が溶かされて破壊されることにより関節の変形を起こしてしまったり、疲れやすく、全身のだるさや体力の低下を生じてしまいます。
また、関節以外の症状として皮膚のしこり(皮下結節)やリウマチ肺と呼ばれる肺の線維化と胸水の出現を生じるようになってしまうことがありますので、
症状の軽いうちにリウマチ専門医・指導医のいる外来に受診して検査を受けることが大切です。
関節リウマチの診断については血液・尿検査や全身の関節のレントゲン写真によるチェックをまず行い、
必要によりMRIや超音波などの特殊検査を追加して確実に関節リウマチであることの診断をつけていくことが重要です。
これまでの医学的調査から、発症した早期の段階からしっかり治療を開始することで病気の進行を抑えることが可能であることがわかってきました。
特にメトトレキサート(リウマトレックス)というお薬は症状の進行を抑制する基本的なお薬(アンカードラッグ)として多く使用されています。
さらに、最近は生物学的製剤(抗TNFαモノクロナール抗体製剤、同受容体製剤、抗IL-6受容体製剤、抗CTLA4受容体製剤)と呼ばれる注射や点滴のお薬を併用することにより数週間で関節リウマチの症状が消失し(臨床的寛解)、
数年の継続で関節破壊が改善する(構造的寛解)患者さんもでてきています。当科では外来薬物療法センターとの連携により外来通院での各種生物学的製剤(通称バイオ製剤といいます。当科では現在、インフリキシマブ(レミケード)、エタネルセプト(エンブレル)、
アダリムマブ(ヒュミラ)、トシリズマブ(アクテムラ)、アバタセプト(オレンシア)、ゴリムマブ(シンポニー)、セルトリズマブ・ペゴル(シムジア)、
シルクマブ(ケブザラ)の8種類が使用されています。)の治療を行っております。また、最近ではJAK阻害剤(ゼルヤンツ・オルミエント・スマイラフ・リンヴォック・ジセレカなど)の投薬も行われており、良好な臨床成績を得ております。数百名以上の方々がこれらの治療法を選択されており、
治療の継続によってすでに多くの方が臨床症状の消失する寛解状態を獲得され、さらに数名の方が2~3年でバイオフリーやドラッグフリー(内服および注射治療のいらない状態)寛解に至っており、
元気に日常生活を過ごしておられます。その他、平均寿命の向上により、最近では高齢で発症する関節リウマチの患者さんが目立つようになってきました。
高齢で発症した場合、呼吸器や腎機能その他の合併症の存在により、より安全な治療薬の選択が求められます。ミゾリビン(ブレディニン)やタクロリムス(プログラフ)、
スルファサラゾピリジン(アザルフィジン)、イグラチモド(ケアラム)といった治療薬を中心に、必要に応じて前述の治療薬を組み合わせて治療していきます。
関節リウマチの治療は日進月歩でますます進歩しており治療に対する選択肢も増えておりますが、一方で使用するお薬の副作用、治療の過程で起こりやすい肺炎といった感染症などの合併症を常に注意しておく必要があり、定期受診ときめ細かな対応がとても大切です。
高齢発症の関節リウマチ患者さんは特に合併症対策が重要ですので、必要に応じて他の専門科との併診も行います。
また地元の開業医の先生との病診連携も行っておりますので、いままでの治療でなかなかよくならず、バイオ治療を含めてより良い状態を目指した治療を受けたいとお考えの方は、
紹介受診も含めどうぞ当整形外科にご相談ください。
骨粗鬆症
からだの骨の強度が低下して、骨折のリスクが高まる状態にあることを“骨粗鬆症”といいます。
通常、骨の強度は骨密度というものを測定して評価していますが、実は骨の質も重要であることがわかっています。
日本においては現在、骨粗鬆症患者さんが約1100万人程度存在すると推定されており、高齢化社会の到来によりその数はさらに増加することが予想されます。
どのような骨折が増えるの?
骨粗鬆症でよくみられる骨折は、ころんで股関節のつけ根で折れる大腿骨頚部骨折や、尻もちをついて背中に激痛が走るのが特徴の胸腰椎圧迫骨折、
そして手をついて手首が折れる橈骨遠位端骨折などですが、骨のぜい弱性がもとで折れやすくなっているので、例えば肋骨や肩、かかとや足の骨にも起こることがあります。
困ったことに、せぼねの骨粗鬆症は慢性的な腰痛の原因であったり、もしくは無症状で背中が曲がってきたりするため、気づかれないまま放置されることが多いのです。
痛みどめやシップであまり効かないといった中高年の腰痛の場合にはこの病気を疑ってみる注意が必要です。
ほかに原因は?
明らかな男女差があり、女性が男性より約3倍多いといわれています。これには閉経に伴う更年期からの女性ホルモンの低下が関わっているとされ、
60歳ころから急速にせぼねの骨折(椎体骨折)が起こりやすくなります。また、大腿骨頚部骨折は北関東や東北で少なく、関西や四国、九州で多い西高東低であることがわかっており、
それが納豆を食べる習慣の有無によるものであると考えられています。納豆はビタミンKを豊富に含んでいますが、これはいわゆる骨の栄養として骨質を高める役割があるとされています。
その他、日照時間の短い北欧ではカルシウム吸収に必要なビタミンDが作られにくくなり骨が弱くなること、
また、若い女性に多い過激なダイエットによる栄養バランスの低下も骨を弱らせてしまうことがわかっています。一部のおくすり(ステロイドや抗ガン剤など)でも骨がもろくなりますし、
高コレステロール状態や糖尿病などのいわゆるメタボリックシンドロームでも骨質が低下して折れやすくなることが指摘されています。
検査は?
健診では骨密度測定といって、骨の量を測る検査を行います。また診察では血液や尿からカルシウムやリン、I型コラーゲン、骨型アルカリフォスファターゼのほか、
必要に応じてオステオカルシンや副甲状腺のホルモンなどを計測します。また、整形外科では症状の起きやすい骨のレントゲンを撮影して、
無症状であっても骨のかたちや骨の線維(骨梁)の減少を見つけだすことが可能です。当院では最新鋭機器のDiscoveryを用いて腰椎および大腿骨頚部の精密な骨密度測定を実施しています。
治療方法は?
骨をつくることと壊すことのバランスが乱れること、カルシウムやビタミンなど骨の栄養が少ないこと、骨に関わるホルモン量が低下すること、運動不足であること、
そして年をとること(加齢)などが主な要因ですので、原因に応じた成分の補充や治療のお薬を投与し、また運動を促す指導を行います。
週1回起床時に内服するアレンドロネート(フォサマック)やリセドロネート(ベネット)、毎日1回内服するミノドロネート(ボノテオ)や、女性で閉経後に朝一回内服するSERM製剤(エビスタ、ビビアント)、
Ca吸収を高める活性型ビタミンD製剤(エディロール、アルファロール)、骨質を改善するビタミンK製剤(グラケー)などがその代表的な内服治療薬です。
お薬については飲み薬だけでなく、腰痛改善効果のあるカルシトニン製剤(エルシトニンン皮下注)週1回投与やアレンドロネート(ボナロン点滴静注)の月1回点滴、PTH製剤(フォルテオ皮下注、テリボン皮下注、テリパラチドBS皮下注)などの簡単な注射による治療も開発されており、
とても有効な治療方法となっています。さらに、半年に1回の注射治療投与でフォローできる抗RANKL抗体のデノスマブ(プラリア皮下注)、
年1回15分の点滴で治療可能であるゾレドロン酸(リクラスト点滴)、そして強力な骨形成能力を有する抗スクレロスチン抗体製剤であるロモソズマブ(イベニティ皮下注)も採用されるに至りました。
当科では外科的治療にこれら骨粗鬆症治療薬の併用療法を用いて、より良好な治療成績を獲得しております。
まずはどうすれば?
骨粗鬆症はだれもがなり得る病気です。一方で骨折を起こすまでは自覚症状にとぼしいのも事実です。身長が縮んだ、背中が丸くなった、体が重だるいといった変化を感じたら、
早めに整形外科を受診してください。お近くの健診センターで一次検診を受け、紹介持参で来られる方にも対応いたします。また、歯科治療の際に問題となる場合もありますので、
ご心配な方はご相談ください。






