脊椎脊髄について
脊椎脊髄外科の領域の疾患に対する治療は、患者さんの年齢や個々の病態などに応じて、適切な治療が異なってきます。
手術適応に関する判断、手術を行う時期に関する判断、手術方法の選択、手術を行う範囲の選択などに関して、いずれも高度な専門的知識に基づく判断が必要です。
また、脊椎脊髄外科の領域の疾患は、患者さんの病態に関する正確な評価を行った上で、長期的視点に基づいた治療を行っていくことが極めて重要な領域であり、
当院の様な高度な専門性を有する病院で治療を行うことが極めて重要な領域の疾患です。
当院では、成人脊柱変形(腰椎変性後側弯(こうそくわん)症、脊柱後弯症など)、小児期の脊柱側弯症(特発性側弯症、先天性側弯症など)、感染性脊椎炎(化膿性脊椎炎、
結核性脊椎炎(脊椎カリエス)など)、脊椎外傷(頚椎脱臼骨折、腰椎破裂骨折など)、腫瘍性疾患(脊椎腫瘍、脊髄腫瘍など)をはじめとする、
治療に際して高い専門的知識や技術を要する疾患を中心に治療を行っています。
これらの疾患に対しては、長期的視点に基づいた適切な治療を行うことが重要であり、治療を行っていく上で、それぞれの患者さんにとって最善の方向性となる様に、
脊椎・脊髄診療部門の医師全員が集まって行うカンファレンスの場で、治療方針や手術を行う場合にはどの様な手術を行うかについて十分なディスカッション(話し合い)を行っています。
腰部脊柱管狭窄症、腰椎椎間板ヘルニア、腰椎変性すべり症、腰椎分離症、頚椎症性脊髄症、頚椎後縦靭帯骨化症、脊椎椎体骨折後偽関節などの比較的、
頻度の高い一般的な疾患に対しても、長期的視点に基づいた適切な治療を行うことが重要であり、当院では、同様の方針で治療を行っています。
脊椎脊髄外科領域の疾患治療に対する治療は、様々な面で年々、進歩を遂げていますが、その中でも我々が更に質の高い医療を追求していくためには、
手術や外来などの日常診療のみならず、臨床研究・学会発表などの学会活動・学術論文の執筆なども含めて、様々な角度からの活動を行うことが重要です。
我々は、日常診療と並行して、臨床研究・学会発表などの学会活動・学術論文の執筆などにも日々、尽力しております。
当院の脊椎・脊髄診療部門は、脊椎脊髄外科領域の疾患治療に関する高い専門性を有する部門として、これまで様々な形で発展を遂げてきました。
高いプロ意識を持って脊椎脊髄外科領域の医療に取り組む当院の伝統を、より良い形で発展させて、更に質の高い医療を患者さんに提供していくべく、
また、当院の脊椎・脊髄診療部門が、脊椎脊髄外科の領域の疾患を有する患者さんにとっての、特に高度な専門性を要する脊椎脊髄疾患に対する治療が必要な患者さんにとっての「最後の砦」
としての機能を果たし続け、更なる進化を遂げ続けていける様、当院の脊椎・脊髄診療部門のスタッフ一同、日々、尽力させて頂いております。
専門スタッフ紹介

藤田 順之(Nobuyuki Fujita) 教授
慶應義塾大学卒業
【専門】脊椎脊髄、脊柱変形


川端 走野 (Soya Kawabata) 講師
横浜市立大学卒業
【専門】脊椎脊髄、低侵襲手術

武田 太樹(Hiroki Takeda) 講師(脊椎外科学講座)
藤田保健衛生大学卒業
【専門】脊椎脊髄、脊椎外傷

今井 貴哉(Takaya Imai) 講師(脊椎外科学講座)
藤田保健衛生大学卒業
【専門】脊椎脊髄、脊椎外傷

赤池 侑樹 (Yuki Akaike) 助教
順天堂大学卒業
【専門】脊椎脊髄、脊椎外傷

影嶋 洸太朗 (Kotaro Kageshima) 助教
北里大学卒業
【専門】脊椎脊髄・脊椎外傷
実績紹介
成人脊柱変形症(側弯症や後弯症)に対する矯正手術
腰曲がりは年だから仕方がないのか
背骨(脊椎)が横に曲がる病気を側弯症と呼びます。
側弯症は大きく分けると2つのタイプがあり、1つは子供の頃に変形が進行するタイプ、もう1つは60歳代前後から変形が進行するタイプです。
60歳代前後から変形が進行するタイプでは、腰椎の骨と骨の間にある椎間板というクッションの様な役割を果たす部分が徐々に痛んでくることが関係しています。
年齢とともに徐々に痛んでくることを変性と呼びますが、60歳代前後から変形が進行するタイプでは、椎間板の変性の進行とともに、背骨の変形が進む傾向にあります。
また、脊椎は本来、横から見た骨の並びはまっすぐではなく、腰の部分(腰椎)が前に弯曲し(前弯)、背中の部分(胸椎)が後ろに弯曲し(後弯)、
首の部分(頚椎)が前に弯曲して(前弯)いることでバランスを保っています。骨の並びのことをアラインメントと呼びますが、高齢者の方の場合は、
椎間板の変性の進行とともに横から見た脊椎のアラインメントにも異常が出てくる場合があり、腰が後ろに曲がる腰椎の後弯が認められることがあります。
腰椎の後弯になると、体が前に傾く傾向が認められます。体には重心の線がありますが、本来は、耳の辺りからまっすぐ下に降ろした線が体幹の重心の線になり、
この重心の線が骨盤の上に来ないと人間は立つ際にバランスを取れなくなります。腰椎の後弯になると、体幹の重心線がより前方にずれることになるため、
本来、重心線が通過する骨盤に重心線を近付けるために、骨盤を後ろに傾けないとバランスを取って立っていられなくなるため、腰から骨盤にかけての筋肉に無理な力がかかって、
これが腰から骨盤辺りにかけての痛みにつながります。
手術の道具や技術が進歩する前は、昔から「腰曲がり」と呼ばれてきたこの様な病態を持った患者さんは、病院に受診しても、
「年だから仕方ない」の一言で済まされる傾向にありましたが、現在は、手術の道具や技術が進歩し、様々な条件を満たせば、脊椎の変形矯正の手術を行い、
愁訴の改善につなげることが可能になっています。脊椎の変形矯正の手術が、痛みの改善に限らず、「腰曲がり」の外見の改善、時には内臓の問題の解決にもつながり、
生活の質の大きな改善に結びつくことも少なくありません。
成人脊柱変形症に対して矯正手術を行う際の条件
脊椎の変形矯正の手術を施行する際には、患者さん側、また我々医療者側も様々な条件をclearしていることが重要です。
脊椎の変形矯正の手術を行う際には、骨をある程度削る必要がありますが、骨の中に骨髄という血液を作る組織が入っているためもあり、
それなりの量の出血を伴います。また、脊椎を全体的に矯正する手術はそれなりに時間のかかる手術であり、患者さん側の要素としては、
循環器や呼吸器の機能がある程度以上であるなど、全身状態に大きな問題がないという条件をclearしていることが重要です。
脊椎の変形矯正の手術が施行可能になった背景としては、矯正を行う際に用いる脊椎関連のインプラントが大きく進歩したことも寄与していますが、
患者さんの骨が脆弱だと、これらのインプラントが「糠に釘」の様な形になり、様々な合併症に繋がる可能性が高くなります。従って、
患者さんの骨質がある一定以上のレベルをclearしていることも重要であり、手術前から十分に骨粗鬆症対策を行うことも重要です。
検査の結果、全身状態の問題が大きい、または骨の脆弱性が非常に強く、矯正手術を行うことが合併症につながる可能性が高いと判断された患者さんには、
手術を行うという選択肢を御呈示しない場合もあります。また、合併症予防の対策を十分に取っていても、感染や隣接椎間障害などは、
大きく進歩した現在の医療技術を駆使してもある一定の割合で認める合併症であり、そのことを患者さんに十分に御理解頂くということも重要です。
また、脊椎の変形の矯正の手術を施行する際に何よりも大事なことは、患者さんが困っておられる愁訴が手術によって実際に改善するか否かを手術前にシミュレーションを行って確認をすることです。
改善するかどうか、とりあえずやってみましょう、などということは、当然のことながら望ましいことではありません。この点に関して当院の脊椎・脊髄診療部門では、我々が独自に考案した検査法によって確認を行っており、
改善の見通しの高い患者さんに手術を行うという選択肢を御呈示しています。
一方、脊椎の変形を矯正する際には、脊椎の中にある脊髄の周囲の環境が変わることになり、それに伴って、脊髄の機能が落ちる可能性があるため、
手術中、脊髄の機能をcheckするモニタリングと呼ばれる操作を行いながら矯正を行うことが重要になります。従って、この様なモニタリングを行うことが可能となる機器が施設に備わっているということも重要です。
脊椎の変形矯正の手術を行う上では、専門性の高い技術を持った医師がいるということは勿論のことですが、手術を行う病院としても、前述した脊髄モニタリングの例の様に、
専門の機器が十分に整っているという意味でも専門性の高い病院であるということが重要であり、当院では、脊椎外科領域の専門性の高い施設として、施設面での充実性も様々な観点から高めています。
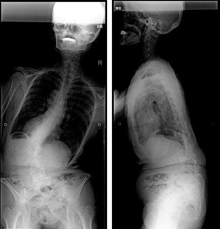
手術前脊椎全長X線写真正面像/側面像
手術後脊椎全長X線写真正面像/側面像
手術前肉眼写真背面像/側面像
手術後肉眼写真背面像/側面像






