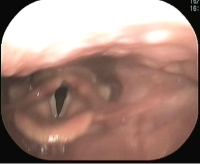
喉頭形成 左反回回神経麻痺 声は小さく、長く話せない
MPT3.5秒 189Hz 67.2dB MFR 1880ml/s PPQ 2.50% APQ 7.23% NHR 0.57%
喉頭の疾患音声外科
声を治す「音声外来」と「音声外科」
声がおかしいと感じられた場合の異常は「音」としての異常でしょうか。当科ではこの「声」の異常の治療に30年以上前より取り組んでいます。特に特に声の生成を司る声帯の疾患について治療を行っています。
「声の使いすぎ」によってできる病気として声帯粘膜の「ペンだこ」のような声帯結節や声帯粘膜下の出血から出来るポリープなどがあります。
音声外来では「声の衛生」を理解してもらった上で声の出し方をよくすることで「声帯結節」や「声帯ポリープ」が改善しないか試みます。(図 声帯結節)

発声の練習で改善しない場合はポリープや結節等の病変を切除する様にします。音声の改善を目的とする切除の時には当科では特注の通常の物より細い喉頭鏡を用いることで咽頭の違和感を減らす工夫を行っています。
肺癌や食道癌やその治療の後に声が出なくなることがあります。多くの場合声帯を動かす反回神経が麻痺することで声が小さく、長く声が出なくなります。声帯が動かなくなることで声帯が中央で閉鎖出来なくなり声が小さく、疲れるようになります。
麻痺のために動かなくなった声帯の位置を、なんらかの治療により真ん中に寄せられれば、音声の改善が期待できます。(図 喉頭形成術)
当科では、コラーゲンを声帯の近くに注射することにより声帯の位置を治す喉頭粘膜下異物挿入術と、声帯をとりかこんでいる甲状軟骨の一部に穴をあけて行う、喉頭形成術・披裂軟骨内転術といった手術を行っています。(図 喉頭形成術)


喉頭形成術1型術後7ヵ月 声は大きくなり、楽に話せるようになる
MPT15.5秒 179Hz 81.2dB MFR182ml/s PPQ0.96% APQ6.07% NHR 0.19%
機能性発声障害
声帯に異常が認められない場合で、音声が出ない場合があります。機能性発声障害と言われる疾患です。
多くの場合は 過緊張性発声障害という疾患で、これらは発声訓練で治療します。中には治療な困難な痙攣性発声障害という原因不明な疾患であることもあります。
この病気は音声訓練で治療することは難しいととされています。
ボツリヌス菌製剤を声帯に注射する方法や、チタンブリッジを用いた喉頭形成術2型という手術を行います。当科はいずれの治療方法も行うことができる施設として認可されており、どちらの治療も行える数少ない施設です。
(図 ボツリヌストキシンによる治療)

35才女性内転型痙攣性発声障害 ボツリヌス製剤注射前

右声帯 2.5単位局注後