HPV関連中咽頭癌に関する研究
research
中咽頭癌とは
中咽頭とは口を開いて覗き込むと見ることができる「のど」の部位のことです。その中には扁桃(腺)や舌根(舌の根元)、口蓋垂(のどちんこ)などがあります(図1)。そこにできるがんを中咽頭がんと呼びます。中咽頭がんの原因には多量の喫煙や飲酒が古くから知られています。最近になり、その他の原因としてヒトパピローマウイルス(HPV)が関与していることが分かり、日本でも中咽頭がんの約半数でHPVが原因のがんであることが分かってきています。
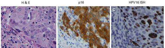
これらHPV関連がんではがん抑制遺伝子産物であるp16というタンパク質が発現することが知られています。我々は中咽頭がん組織からHPV-DNAをPCR法とISH法およびp16免疫染色で検出して比較して(図2)、p16でスクリーニングをしてHPV16-ISHで確認するのが最も信頼性の高い診断法であることを見出しました。また、喫煙や飲酒が原因の場合と比べて発症年齢が若く、抗がん剤や放射線治療が効きやすく、長期に生存できることが分かりました。そこで、適応のある方には治療期間が短く、味覚障害や口渇、嚥下障害などが少ない経口的腫瘍切除術(顕微鏡下、内視鏡下、ロボット支援下)を積極的に行い良好な結果を得ています。また、予後に関わる研究としてはいくつもの頸部リンパ節転移が癒合して一塊となる「matted nodes」がある症例では遠隔転移が多いことが分かりました(図3)。

図1:舌根にできたがん

図1:右扁桃にできたがん

図2:中咽頭がん組織からHPV-DNAをPCR法とISH法およびp16免疫染色で検出して比較

図3:Matted nodesの症例