上肢について
上肢班では、肩から指先までの外傷、慢性疾患について診療を行っています。初代教授の矢部裕先生や現岡崎医療センター院長の鈴木克侍先生の専門である手外科疾患については近隣の先生方を中心にたくさんご紹介いただいております。当院は日本手外科学会専門医施設に認定されており手外科に関して経験を積んだ医師が診療させて頂きます。
また2022年4月からは肩を専門にしている河野が新しく赴任したこともあり,肩関節疾患の患者さんも徐々に増えてまいりました。
手術は月曜日と水曜日に行なっており、局所麻酔や伝達麻酔、全身麻酔の手術を年間400件以上行っています。
外来診療は主に火曜日、木曜日、金曜日に行っています。
専門スタッフ紹介

黒岩 宇(Takashi Kuroiwa) 講師
藤田保健衛生大学卒業
【専門】上肢、肩関節、外傷全般、手外科専門医

林 裕紀 (Hironori Hayashi) 助教
慶應義塾大学卒業
【専門】上肢、肩関節
実績紹介
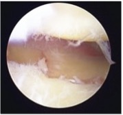
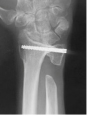
橈骨遠位端骨折に対する鏡視併用手術
橈骨遠位端骨折は頻度の高い骨折の一つで、特に関節内骨折については関節鏡を併用し従来のX線のみでは整復が不十分な関節面の整復を行っています。
骨折治療に加えて骨折の予防に骨粗しょう症の治療の導入も積極的に行っています。
術前
術後
鏡視下整復前
整復後
関節リウマチ患者に対する腱移行および手関節形成術
手関節の変形により腱断裂(特に伸筋腱)が生じ、急に指が伸びなくなる患者さんがいます。小指から始まり、比較的早期に手術をしない薬指中指と断裂が進行します。
断裂が進行しないように手関節の形成と、切れた腱に対しては直接縫合することは困難なため、隣接する正常な腱を用いて腱移行や腱移植を行ないます。
術前(写真)
術後(写真)
術前(レントゲン)
術後(レントゲン)
手術前の指の伸展不足が改善しています
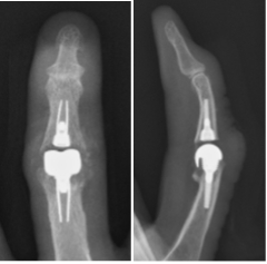
人工関節置換術
関節リウマチや変形性関節症の患者さんで、関節が破壊され機能が失われた症例に対し各関節(指、肘、肩)の人工関節置換術を行ない、関節機能の再建を行っています。
術前
右中指が屈曲変形し骨が癒合しています
術後
人工関節に置換し指が伸びました
術前
左肘関節の変形を認めます
術後
人工関節して痛みや可動域が改善しました
術前
右肩の変形と挙上制限を認めます
術後
人工関節で痛みや可動域が改善しました






