ニュース&トピックス
- 2025年4月
- 2024年4月
玉利講師が着任し、松原研究室が新体制になりました(大学院生1名、学部生5名)。
分野紹介
医療科学部研究推進ユニットに属する当分野は、放射線を活用して医療科学に貢献する研究を進めています(医用情報工学という分野名は一旦忘れてください)。ミクロとマクロの視点を併せ持つ物理学と生物学を放射線と絡めて理解するのが放射線物理学と放射線生物学ですが、これら二つを融合させて基礎研究から中性子ホウ素捕捉療法(Boron Neutron Capture Therapy: BNCT)のような新しい放射線治療の応用開発も目指した活動を行います。放射線にも詳しい臨床検査技師や臨床工学士、そして生体情報にも詳しい診療放射線技師の育成を目指しています。
メンバー
教員
放射線学科
-
松原 礼明(准教授)
-
玉利 勇樹(講師)
研究内容
・診療放射線が起因する植込み型精密機器の誤作動に関する研究
・中性子等の原子核反応が関与する医学物理研究
リニアックによる照射実験中の心臓デバイス
ペースメーカ等の心臓デバイスを植込んだがん患者は放射線治療を諦めるべきなのでしょうか?また糖尿病で日常的に使い捨てのグルコース測定器を使用されている方は、CT撮影の度にその装置を取り外して廃棄しなければならないのでしょうか?安全の優先は重要ですが、時として診療の妨害となります。我々はこのような精密機器がどのような場合に障害を受け、どこまでの線量であれば安全に動作し続けるかを見極める研究を進めています。またこのような機器障害の一つに中性子によるソフトエラーが関与しており、医療の観点からこの問題にも取り組んでいます。(松原 礼明)
・ホウ素中性子捕捉療法(BNCT)の治療効果改善法の検討
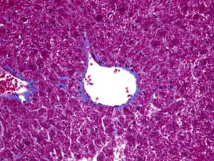
Masson-Trichrome染色による線維化の検出(肝臓)
BNCTはホウ素をがん細胞に取り込ませ中性子を照射することで核反応を起こし、発生した2つの重粒子でがん細胞を破壊する放射線治療の一種です。生物学的手法によるBNCTの治療成績向上について検討を行っています。細胞実験及び動物実験にて腫瘍に対する殺傷能力・腫瘍縮小効果を検証し、さらに正常組織への影響についても研究を行います。(玉利勇樹)
・液性因子による放射線抵抗性獲得機構の解明
53BP1蛍光免疫染色によるDNA損傷解析
放射線が照射され生き残った細胞は放射線抵抗性を獲得します。放射線抵抗性獲得の詳細なメカニズムについては未だ不明なままです。我々は放射線照射によって細胞から分泌される液性因子に着目し、がん細胞が放射線抵抗性を獲得するメカニズムについて研究しています。液性因子を投与した細胞に放射線を照射しコロニー形成法や53BP1蛍光免疫染色法による解析を行い、さらに活性酸素の関与についても研究を行います。(玉利勇樹)
学術業績
原著論文
2025
- I. Brandherm, F. Bonaiti, P. von Neumann-Cosel, S. Bacca, G. Colò, G. R. Jansen, Z. Z. Li, H. Matsubara, Y. F. Niu, P.-G. Reinhard, A. Richter, X. Roca-Maza, and A. Tamii, Electric dipole polarizability of 58Ni. Phys. Rev. C, 2025; 111: 024312.
- M Nojiri, T Takata, A Sasaki, Y Tamari, N Matsubayashi, N Hu, Y Sakurai, M Suzuki and H Tanaka. Evaluation of dose calculation method with a combination of Monte Carlo method and removal-diffusion equation in heterogeneous geometry for boron neutron capture therapy. Biomed. Phys. Eng. Express 2025; 11: 025045.
2024
- P. Von Neumman-Cosel, V. O. Nesteranko, I. Brandherm, P. I. Vishnevskiy, P.-G. Reinhard, J. Kvasil, H. Matsubara, A. Repko, A. Richter, M. Scheck and A. Tamii. Candidate Toroidal Electric Dipole Mode in the Spherical Nucleus 58Ni. Phys. Rev. Lett. 2024; 133: 232502.
- I. Brandherm, P. von Neumann-Cosel, R. Mancino, G. Martínez-Pinedo, H. Matsubara, V. Yu. Ponomarev, A. Richter, M. Scheck, and A. Tamii, Electric and magnetic dipole strength in 58Ni from forward-angle proton scattering. Phys. Rev. C, 2024; 110: 034319.
2023
- R. W. Fearick, P. von Neumann-Cosel, S. Bacca, J. Birkhan, F. Bonaiti, I. Brandherm, G. Hagen, Hiroaki Matsubara, W. Nazarewicz, N. Pietralla, V. Yu. Ponomarev, P.-G. Reinhard, X. Roca-Maza, A. Richter, A. Schwenk, J. Simonis, and A. Tamii. Electric dipole polarizability of 40Ca. Phys. Rev. Research 2023; 5: L022044.
- Hiroaki Matsubara. Neutron dose from a 6-MV X-ray beam in radiotherapy. Radiol Phys Technol. 2023 Jun; 16(2): 186-194.
- Tetsuo Noro, Satoshi Sakaguchi, Tomotsugu Wakasa, Masanori Dozono, Hiroyuki Fujioka, Kunihiro Fujita, Kichiji Hatanaka, Takashi Ishida, Chihiro Iwamoto, Shoichiro Kawase, Yuki Kubota, Yukie Maeda, Hiroaki Matsubara, Kenjiro Miki, Shinsuke Ota, Valerii Panin, Harutaka Sakaguchi, Akane Sakaue, Yasuhiro Sakemi, Masaki Sasano, Kimiko Sekiguchi, Yohei Shimizu, Hiroyuki Takeda, Yuji Tameshige, Atsushi Tamii, Satoru Terashima, Tomohiro Uesaka, Zai-Hong Yang, Yusuke Yasuda, Hidetomo P Yoshida, Juzo Zenihiro. Experimental study of (p, 2p) reactions at 197 MeV on 12C, 16O, 40,48Ca, and 90Zr nuclei leading to low-lying states of residual nuclei. Prog. Theor. Exp. Phys. 2023; 093D01
2022
- Hiroaki Matsubara. Comment on "Particle therapy using protons or carbon ions for cancer patients with cardiac implantable electronic devices (CIED): a retrospective multi-institutional study". Jpn J Radiol. 2022 May; 40(5): 542-543
2021
- Hiroaki Matsubara, Takatomo Ezura, Hashimoto Yaichiro, Karasawa Kumiko, Teiji Nishio, Masato Tsuneda. Study of feasible and safe condition for total body irradiation (TBI) using cardiac implantable electronic devices(CIEDs). J Radiat Res. 2021; 62: 1006-1014.
- K. Inaba, Y. Sasamoto, T. Kawabata, M. Fujiwara, Y. Funaki, K. Hatanaka, K. Itoh, M. Itoh, K. Kawase, H. Matsubara, Y. Maeda, K. Suda, S. Sakaguchi, Y. Shimizu, A. Tamii, Y. Tameshige, M. Uchida, T. Uesaka, T. Yamada, H. P. Yoshida: Search for α condensed states in 13C using α inelastic scattering. Progress of Theoretical and Experimental Physics. 2021; 093D01.
- Hiroaki Matsubara, Atsushi Tamii. Quenching of isovector and isoscalar spin-M1 excitation strengths in N=Z nuclei. Front. Astron. Space Sci. 2021; 667058.
- Toshiki Ohno, Toshinori Soejima, Yukio Sekiguchi, Takayuki Hashimoto, Izumi Koike, Hiroaki Matsubara, Kazuhiko Nakamura, Kazunori Nitta, Shigeo Takahashi, Kayoko Tsujino, Masaru Wakatsuki and Eisaku Yodeni. JASTRO/JCS Guidelines for radiotherapy in patients with cardiac implantable electronic devices. J Radiat Res. 2021; 62: 172-184.
学会報告
2024
- Yuki Tamari, Rie Saba, Takushi Takata, Minoru Suzuki, Hideya Yamazaki, Kei Yamada. Examination of improvement of BNCT treatment efficiency by L-phenylalanine deficiency in tumor cell lines. 5th Japan-Taiwan Neutron Capture Therapy Academic Conference of Elite(口頭発表)
玉利勇樹、佐波理恵、髙田卓志、鈴木実、山崎秀哉、山田惠 SAS腫瘍移植マウスにおけるフェニルアラニン制限によるBNCT治療効率改善の検討 第20回日本中性子捕捉療法学会、7月26-27日(口頭発表) - Hiroaki Matsubara, Karin Shimosaka, Ryushi Kanou, Masaru Yamamoto, and Hideaki Hasidume. Study of a false trigger to electrical shock for defibrillation in a cardiac implantable electronic device by medical irradiation. The 10th Japan-Korea Joint Meeting on Medical Physics, Sep. 20-21.(口頭発表)
- 玉利勇樹、佐波理恵、髙田卓志、鈴木実、山崎秀哉、山田惠 SAS腫瘍移植マウスにおけるフェニルアラニン制限によるBNCT治療効率改善の検討 日本放射線腫瘍学会第37回学術大会、11月21-23日(口頭発表)
著書
- 松原礼明(分担執筆): がん・放射線療法 改訂第8版「植込み型心臓電気デバイスへの対応:物理」(大西洋、唐澤久美子、西尾禎治、石川仁編),pp.709-711,Gakken(2023年9月)
アクセス
- 藤田医科大学までのアクセス ⇒ 藤田学園ホームページ
- 医用情報工学分野へのアクセス ⇒ 大学7号館2階205



